Logo de la clínica
error

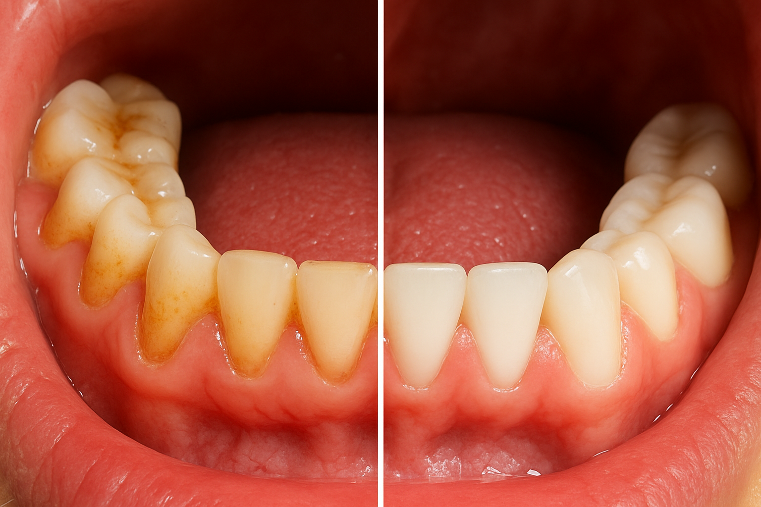
PERIODONCIA

Tratamos y prevenimos enfermedades de las encías para mantener tu boca sana y tu sonrisa firme.

¿Que es la Periodoncia?

La periodoncia es la rama de la odontología que se encarga de prevenir, diagnosticar y tratar las enfermedades de las encías y los tejidos que rodean y sostienen los dientes, como el hueso. Su objetivo principal es mantener la salud periodontal y evitar la pérdida dental.

error
error

Importancia del tratamiento Periodontal

La salud de las encías es fundamental para mantener una sonrisa saludable y prevenir problemas dentales graves. Los problemas periodontales pueden afectar no solo tus dientes y encías, sino también tu salud en general. La inflamación crónica de las encías ha sido relacionada con enfermedades sistémicas como la diabetes y enfermedades cardíacas. La periodoncia desempeña un papel crucial en la prevención y el tratamiento de estas afecciones, lo que la convierte en una parte esencial de la atención odontológica.

error
WhatsApp
¿Tienes dudas?
Escríbenos y agenda tu evaluación     

Síntomas comunes de la enfermedad periodontal:

  • ✅ Encías rojas, hinchadas, sangran a la presión
  • ✅ Aliento fuerte permanente o mal sabor en la boca
  • ✅ Mayor espacio entre los dientes
  • ✅ Dientes que se mueven
  • ✅ Presencia de materia en las encías

Si usted presenta uno o varios síntomas de los anteriormente indicados, debe ser evaluado por un periodoncista para que inicie su tratamiento, ya que de no hacerlo podría perder los dientes.

error
error